武汉天德生物科技有限公司欢迎您!

366577646@qq.com

 | 027-87561633

logo

027-87561633

366577646@qq.com

产品中心

PRODUCT CENTER

Anti Active Gα13 Mouse Monoclonal Antibody

价格4800
品牌Bioyears   
产地美国
货号26902
免疫原Mouse
规格30μl
技术资料查看技术资料
  • 数据表
  • 参考文献
扫一扫购买
  • 概述

    Active Gα13 GTP [26902]
    [30 µL]


    Catalog Number:  26902
    Gene Symbol:  Gna13
    Description:   Anti Active Gα13 Mouse Monoclonal Antibody
    Background:   Heterotrimeric G proteins are essential cellular signal transducers. Gα13 is one of the G proteins that could mediate cell migration and angiogenesis. Other biochemical and physiological functions of Gα13 are being explored.
    Immunogen:   Recombinant full length active Gα13 protein
    Applications:   IP, IHC
    Recommended Dilutions:   1 µg for 1~2 mg total cellular proteins for IP; 
                                                       1:100 dilution for IHC
    Concentration:   1 mg/ml
    Host:   mouse
    Format:   Liquid
    Clonality:   Monoclonal
    Isotype:   IgG2b
    Purity:   Purified from ascites
    Storage buffer:
    Preservative:  no
    Constituents:  PBS (without Mg2+ and Ca2+), pH 7.4, 150 mM NaCl, 50% glycerol
    Species Reactivity:  Anti active Gα13 monoclonal antibody recognizes active Gα13 of vertebrates.
    Storage Conditions:  Store at -20°C. Avoid freeze / thaw cycles

    Immunoprecipitation/Western blot:  
    IP/WB analysis of active Gα13 proteins. Purified Gα13 proteins were treated with GDP (lane 1) or GTPGTPγS (lane 2). After immunoprecipitation with anti active Gα13 GTP mouse monoclonal antibody (Cat. # 26902), these proteins were separated by SDS/PAGE and western blotted with anti Gα13 mouse monoclonal antibody (Cat. # 26004).
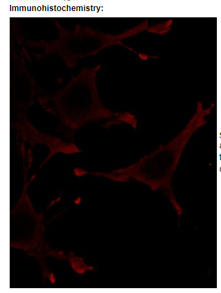
    Immunohistochemistry:  
    Staining of MEF cells (treated with PDGF) with anti Ga13 GTP monoclonal antibody showing the localization of Gα13 GTP in the leading edge of migrating cells.


    Publications:
    1.  Resistance to inhibitors of cholinesterase-8A (Ric-8A) is critical for growth factor receptor-induced actin cytoskeletal reorganization
        J Biol Chem. 2011 Sep 2;286(35):31055-61
    2.  Agonist activation of the G protein-coupled receptor GPR35 involves transmembrane domain III and is transduced via Galpha and beta-arrestin-2
        Br J Pharmacol. 2011 Feb;162(3):733-48
    3.  Gα12/13 inhibition enhances the anti-cancer effect of bortezomib through PSMB5 downregulation
        Carcinogenesis (2010)
    4.  Suppression of tumor angiogenesis by Galpha(13) haploinsufficiency
        J Biol Chem. 2009 Oct 2;284(40):27409-15





      暂无数据

Copyright©2019武汉天德生物科技有限公司版权所有