武汉天德生物科技有限公司欢迎您!

366577646@qq.com

 | 027-87561633

logo

027-87561633

366577646@qq.com

产品中心

PRODUCT CENTER

Anti ERBB2 Rabbit polyclonal Antibody

价格4800
品牌Bioyears   
产地美国
货号21200
免疫原Mouse
规格100ul
技术资料查看技术资料
  • 数据表
  • 参考文献
扫一扫购买
  • 概述

    ERBB2_21200
    [100 µL]


    Catalog Number:  21200
    Gene Symbol:  ERBB2/HER2/Neu/c-Neu
    Description:   Anti ERBB2 Rabbit polyclonal Antibody
    Background:   The HER-2/neu oncogene, a member of the epidermal growth factor receptor or erb-B gene-like family, encodes a transmembrane tyrosine kinase receptor that mediates extracellular signals activated by epidermal growth factors. Her2 abnormal has been strongly associated with many malignant tumors, especially with breast cancers. The expression level of Her2 is an important critiria in clinic evaluating of the progression of breast cancer.
    Immunogen:   A synthetic peptide from the C-terminal region of ERBB2, human origin.
    Applications:   ELISA, WB, IHC
    Recommended Dilutions:   
    ELISA: 1:1000-1:5000 
    WB: 1:100-1:1000 
    IHC: 1:50-1:100
    Concentration:   0.1 mg/ml
    Host:   Rabbit
    Format:   Liquid
    Clonality:   Polyclonal
    Isotype:   
    Purity:   Purified from serum
    Storage buffer:
    Preservative:  no
    Constituents:  PBS (without Mg2+ and Ca2+), pH 7.4, 150 mM NaCl, 50% glycerol
    Species Reactivity:  Recognizes Erb-B2 of vertebrates.
    Storage Conditions:  Store at -20°C. Avoid freeze / thaw cycles.

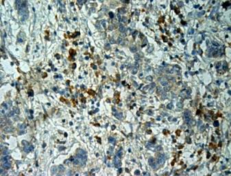
    Immunohistochemistry:  
    Immunohistochemical analysis of paraffin-embedded human liver cancer tissue with anti-Erb-B2 polyclonal antibody (Cat. #21200). Tissue samples were fixed with formaldehyde and blocked with 1% serum for 15 min at 37 °C. Antigen retrieval was by heat mediation in citrate buffer (pH6). Samples were then incubated with primary antibody (1:50) overnight at 4°C. A HRP-conjugated Goat anti-mouse IgG (dilution 1:50) was used as secondary antibody.





      暂无数据

Copyright©2019武汉天德生物科技有限公司版权所有