武汉天德生物科技有限公司欢迎您!

366577646@qq.com

 | 027-87561633

logo

027-87561633

366577646@qq.com

产品中心

PRODUCT CENTER

Anti Albumin Mouse Monoclonal Antibody

价格2800.00
品牌Bioyears   
产地美国
货号26090
免疫原Mouse
规格100μl
技术资料查看技术资料
  • 数据表
  • 参考文献
扫一扫购买
  • 概述

    Albumin [26090]
    [100 µL]


    Catalog Number:  26090
    Gene Symbol:  ALB
    Description:    Anti Albumin Mouse Monoclonal Antibody
    Background:    Albumin belongs to the ALB/AFP/VDB family. It comprises about one-half of the blood serum protein. Albumin functions primarily as a carrier protein for steroids, fatty acids, and thyroid hormones, and also plays a role in stabilizing extracellular fluid volume. Defects in Albumin will cause familial dysalbuminemic hyperthyroxinemia (FDH).
    Immunogen:   Albumin protein, human origin.
    Applications:   ELISA, WB, IHC
    Recommended Dilutions:    
    ELISA: 1:1000-1:5000 
    WB: 1:1000-1:5000 
    IHC: 1:50-1:100
    Concentration:    1 mg/ml
    Host:   mouse
    Format:   Liquid
    Clonality:   Monoclonal
    Isotype:   IgG
    Purity:   Purified from ascites
    Storage buffer:
    Preservative:  no
    Constituents:  PBS (without Mg 2+ and Ca 2+ ), pH 7.4, 150 mM NaCl, 50% glycerol
    Species Reactivity:   Anti Albumin antibody recognizes Albumin from vertebrates.
    Storage Conditions:  Store at -20°C. Avoid freeze / thaw cycles.

    Western blot:  
    Western blot analysis of Albumin(HSA) and BSA proteins. Purified Albumin protein (lane 2) were blotted with anti Albumin monoclonal antibody (Cat. # 26090). BSA protein was loaded as a control (lane 1).
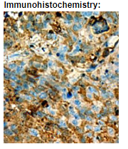
    Immunohistochemistry:  
    Immunohistochemical analysis of paraffin-embedded liver cancer tissue with anti Albumin monoclonal antibody (Cat. #26090). Tissue samples were fixed with formaldehyde and blocked with 1% serum for 15 min at 37 °C. Antigen retrieval was by heat mediation in citrate buffer (pH6). Samples were then incubated with primary antibody (1:50) overnight at 4°C. A HRP-conjugated Goat anti mouse IgG (dilution 1:50) was used as secondary antibody.



      暂无数据

Copyright©2019武汉天德生物科技有限公司版权所有